
Hier finden Sie die Leistungen, die unserer Praxis erbracht werden. Bei Fragen können Sie sich vertrauensvoll an jeden einzelnen Mitarbeiter unseres Teams wenden.
Geringste Spannungsschwankungen, die entstehen, wenn das Herz schlägt, werden auf Millimeterpapier aufgezeichnet. Bei einer großen Anzahl von Herzerkrankungen wie z.B. akuter Herzinfarkt, schwersten Durchblutungsstörungen des Herzens in Ruhe, Herzrhythmusstörungen, Herzentzündungen usw. finden wir Abweichungen von einem normalen EKG, die dann immer weitere diagnostische Maßnahmen notwendig machen. Vorsicht! Ein normales Ruhe EKG besagt keinesfalls, dass Sie herzgesund sind.
Mit einem Fahrradergometer sitzend, liegend oder halbliegend oder auch Laufband (insbesondere bei speziellen sportmedizinischen Fragestellungen) wird die Leistungsfähigkeit des Herzens überprüft. Unter steigender Belastung sowie in den Ruhephasen, wird ständig ein EKG mitgeschrieben, gleichzeitig auch Blutdruck gemessen. Insbesondere Durchblutungsstörungen des Herzens, z.B. durch Engstellen in den Herzkranzgefäßen (Herzinfarktgefahr!), oder Herzmuskelerkrankungen werden zu 70 - 80% durch ein Belastungs-EKG entdeckt. Wenn man zusätzlich noch ein Stressechokardiogramm anfertigt, d. h. gleichzeitig direkt vor und nach Belastung Ultraschallaufnahmen des Herzens aufzeichnet und diese dann miteinander vergleicht, kann man die Genauigkeit der Diagnose auf ca. 90% steigern. Die Ultraschallaufnahmen der linken Herzkammer sollten bei einer guten Durchblutung des Herzens vor und direkt nach maximaler Belastung jeweils eine gleichförmige Bewegung zeigen.
Die Spätpotentialanalyse ist ein spezielles Ruhe-EKG, das selbst kleinste Spannungsschwankungen des Herzens registrieren kann und computerunterstützt auswertet. Sie ist eine sinnvolle ergänzende Untersuchung bei Herzrhythmusstörungen, die in den Herzkammern entstehen.
Im Zusammenhang mit bestimmten Zeitmessungen (z.B. QT-Analyse oder Messungen der Herzfrequenzvariabilität) im Langzeit-EKG kann man Hinweise dafür finden, ob bestimmte Patienten besonders stark gefährdet sind, lebensbedrohliche Herzrhythmusstörungen zu entwickeln.
Hier wird das EKG über einen Zeitraum von max. 24 Stunden kontinuierlich mit einem kleinen digitalen Recorder den der Patient für diesen Zeitraum angelegt bekommt, aufgezeichnet. In erster Linie werden hiermit Herzrhythmusstörungen aufgedeckt, es können aber auch Hinweise für Durchblutungsstörungen des Herzens gefunden werden.
Ähnlich wie bei einem Langzeit-EKG bekommt der Patient ein sehr kleines elektronisches Aufzeichnungsgerät angelegt, das er für einen Zeitraum von 8 bis 14 Tagen tragen kann. Die auf die Haut geklebten zwei Elektroden werden selbst täglich gewechselt um die Haut zu schonen. Immer wenn der Patient selbst Herzrhythmusstörungen, z.B. „Herzrasen“ empfindet, kann er mittels Knopfdruck eine EKG-Aufzeichnung auslösen, die im Gerät gespeichert und später mit Hilfe eines Computers ausgewertet wird. Der Sinn dieser Untersuchung liegt auf der Hand: man findet mit dieser Methode auch recht selten auftretende Herzrhythmusstörungen.
Unter bestimmten Voraussetzungen können wir mit unseren Langzeit-EKG-Geräten die Aufzeichnungen einer Stunde oder 24 Stunden extern mit einem speziellen Programm auswerten lassen. Dieses spezielle Programm sucht nach EKG-Abweichungen, die auf ein sog. „intermittierendes Vorhofflimmern“ hinweisen. Patienten mit diesen Herzrhythmusstörungen sind gefährdet, einen Schlaganfall zu erleiden.
Man erhält Einblicke in Form, Größe, Struktur und Bewegung des Herzens, d.h. Herzmuskel, Herzbeutel, Herzklappen und die herznahen großen Gefäße. Bei einer Vielzahl von Herzerkrankungen ist die Echokardiographie heute Mittel der Wahl in der Diagnostik.
Bei der normalen Echokardiographie wird das Herz normalerweise mit Sonden, die auf die Brustwand aufgesetzt werden, beobachtet wird. Bei der transoesophagealen Echokardiographie wird das Herz mittels einer Schlucksonde (ähnlich der Magenspiegelung) durch die eng dem Herzen anliegende Speiseröhre betrachtet. Man kann mit dieser Methode bei bestimmten Fragestellungen sehr viel mehr Einzelheiten im Herzen und an den Herzklappen, so wie auch der Hauptschlagader, erkennen.
Während eines Belastungs-EKG (halbliegend), wird gleichzeitig eine Ultraschalluntersuchung des Herzens in Ruhe und bei bestimmten Belastungsstufen durchgeführt. Computergestützt vergleicht man im Ultraschall die Wandbewegung der wichtigen linken Herzkammer in Ruhe und unter Belastung. Bei einer schlechten Durchblutung des Herzens (z.B. durch Engstellen in den Herzkranzgefäßen) findet man deutliche Wandbewegungsstörungen der linken Herzkammer.
Neben dem Herzen können wir mittels Ultraschall nahezu den ganzen Körper untersuchen. Im Vordergrund stehen bei uns die Halsgefäße (s.a. Duplexsonographie), alle herzfernen großen Arterien und Venen und insbesondere die Bauchorgane.
Überwiegend benötigen wir diese Technik zur Darstellung der Halsschlagadern. Mit unserem Ultraschallgerät ist es möglich, den Blutstrom und die Strömungsgeschwindigkeit auch in jedem anderen größeren Blutgefäß – aber auch in kleinen Blutgefäßen, z.B. die kleinen Arterien in der Niere - darzustellen, und so eine genaue Aussage über den Zustand des Gefäßes treffen zu können.
Wenn es allgemein um eine Aussage über die Durchblutung, vorwiegend in Armen und Beinen, geht, setzen wir diese Methode der Diagnostik ein. Auch ohne Ultraschallbild lassen sich die Blutströmungen in Arterien und Venen messen. Engstellen oder Fehlfunktionen der Gefäße können wir so aufdecken.
Ähnlich wie mit der Dopplersonographie erhalten wir mit dieser Messmethode (gleichzeitiges Messen des Blutdrucks an Armen und Beinen) eine erste Aussage, ob eine Durchblutungsstörung in den Gefäßen vorliegen könnte. Zudem kann das Ergebnis dieser Untersuchung wegweisend sein für eine erste Beurteilung der Funktion der Gefäße („endotheliale Dysfunktion“).
Es ist die exakte und hochauflösende Aufzeichnung der Herztöne und der Pulswelle arteriell und venös auf EKG-Papier. Sie dient z.B. zur Dokumentation des Abhörbefundes, zur Verlaufskontrolle bei Herzfehlern, zur Kontrolle bei operierten Herzklappen und zur Diagnostik bei auffallenden Herzgeräuschen.
Mit speziellen Herzschrittmachermessgeräten wird der Zustand eines implantierten Herzschrittmachers, Defibrillators oder Kardioresynchronisationssystems im Hinblick auf den vorhandenen und eingestellten Funktionszustandes untersucht.
In erster Linie werden bei uns Blutuntersuchungen durchgeführt, die im weitesten Sinne mit Herz- und Kreislauferkrankungen im Zusammenhang stehen. Der überwiegende Teil der Laboruntersuchungen wird an Großlabors verschickt. Einige wenige – die wichtigsten Untersuchungen! - werden bei uns mittels neuester Technik sofort bestimmt. Dadurch sind wir in der Lage akute Notfälle wie z. B. frische Herzinfarkte, Lungenembolien, Thrombosen und schwere Herzinsuffizienz laborchemisch sofort zu erkennen.
Über einen Zeitraum von maximal 24 Stunden werden in bestimmten Zeitintervallen Blutdruckwerte automatisch gemessen. Hierzu wird dem Patient eine Blutdruckmanschette, die mit einem Aufzeichnungsgerät verbunden ist, in der Praxis angelegt. Sinn der Untersuchung ist das Erstellen eines Blutdruckprofils, das u.a. eine Aussage treffen kann, ob z.B. eine Behandlung notwendig ist oder eine bestehende medikamentöse Blutdrucksenkende Therapie ausreichend ist.
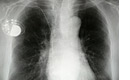
Überwiegend benötigen wir unsere Röntgenanlage um Aufnahmen des Brustkorbes anzufertigen. Hier gewinnen wir Informationen über die Größe und Form des Herzens, Zustand der Herz- und Lungengefäße sowie auch eine vollständige Information über den Zustand der Lungen. Selbstverständlich lassen sich, wenn erforderlich, auch alle anderen Körperteile mit der Anlage röntgen. Die Befunde werden digitalisiert, zentral gespeichert und ggfs. auf einer CD dem Patienten mitgegeben.
Man erhält mit dieser Untersuchungsmethode Aussagen über den Funktionszustand der Lungen. Gemessen wird u. a. das Lungenvolumen, die Elastizität / Dehnbarkeit der Lunge und insbesondere der Zustand der Bronchien. Zusammen mit dem Röntgenbild der Lunge lassen sich weitreichende Aussagen und Diagnosen treffen.